HOME-Au
HOME-Au
24h
24h
USA
USA
GOP
GOP
Phim Bộ
Phim Bộ
Videoauto
VIDEO-Au
Home Classic
Home Classic
Donation
Donation
News Book
News Book
News 50
News 50
worldautoscroll
WORLD-Au
Breaking
Breaking
 

Go Back   VietBF > World Box| Thế Giới > Vietnam News | Tin Việt Nam


Reply
 
Thread Tools
  #1  
Old  Default 33 tuổi phát hiện u xương từ triệu chứng đau ai cũng từng gặp
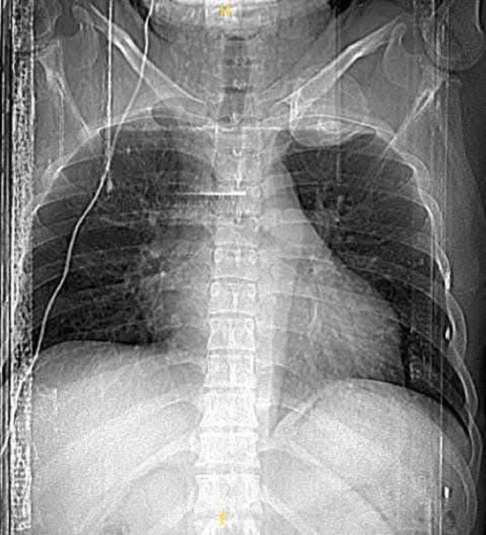
Kết quả chụp cắt lớp vi tính ngực cho thấy hình ảnh khối u cung sau xương sườn số 1 kích thước 5x6cm, choán gần toàn bộ vùng hõm đỉnh.

Thông tin từ Bệnh viện K cho biết, các bác sĩ Khoa Ngoại lồng ngực vừa thực hiện thành công ca phẫu thuật loại bỏ khối u xương kích thước lớn, nằm ở vị trí cung sau và chiếm toàn bộ xương sườn số 1 cho một bệnh nhân

Trước đó, bệnh nhân Hà Minh V. (nam, 33 tuổi quê tại Cẩm Thủy, Thanh Hóa) đi khám vì đau tức nhẹ vùng vai trái khi vận động cánh tay kèm cảm giác tê bì nhẹ cánh tay trái.

Kết quả chụp cắt lớp vi tính ngực cho thấy hình ảnh khối u cung sau xương sườn số 1 kích thước 5x6cm, choán gần toàn bộ vùng hõm đỉnh bên trái, mặt trước của khối u dính sát phía sau động mạch, tĩnh mạch dưới đòn trái, bờ trên và sau của khối u nằm sát đám rối cánh tay, bờ dưới của khối u dính vào đỉnh phổi trái.


Hình ảnh phim chụp của bệnh nhân.

Theo các chuyên gia y tế, khối u ở xương sườn là một tình trạng hiếm gặp, với tỷ lệ mắc dao động khoảng từ 3 – 8% khối u xương tùy loại, trong đó các tổn thương u xương xuất hiện ở xương sườn số 1 là đặc biệt hiếm gặp, hiện chưa có phương pháp phẫu thuật tiêu chuẩn nào được thiết lập.

Bằng tất cả kinh nghiệm, sự chuẩn bị kỹ càng, ca phẫu thuật do các bác sĩ Khoa Ngoại lồng ngực - Bệnh viện K thực hiện đã diễn ra thành công. Bệnh nhân được gây mê toàn thân bằng ống nội khí quản 2 nòng Carlens, thiết lập các đường truyền tĩnh mạch trung tâm và huyết áp động mạch xâm lấn để dự trù tình huống tai biến chảy máu và mổ trong tư thế nằm nghiêng 90 độ.

Các bác sỹ đã tiến hành cắt bỏ khối u xương sườn qua đường mở ngực trước bên bên trái tại khoang liên sườn số I-II vùng hõm nách. Đây là đường mở khá phức tạp vì khối cơ thành ngực dày, liên quan trực tiếp đế bó mạch dưới đòn và đám rối thần kinh cánh tay.

TS.BS Nguyễn Khắc Kiểm - Trưởng Khoa Ngoại lồng ngực - Bệnh viện K cho biết, bệnh nhân có khối u xương kích thước lớn, tuy nhiên u nằm ở vị trí cung sau và chiếm toàn bộ xương sườn số 1.


Hình ảnh u cung sau xương sườn số 1 trên phim chụp của bệnh nhân.

Do vị trí giải phẫu xương sườn số 1 và cấu trúc liên quan (cơ, mạch máu, thần kinh) nên việc đưa ra phương án lựa chọn đường tiếp cận u, cắt u sao cho thuận lợi, triệt căn nhất và tránh được các tai biến như chảy máu, liệt cánh tay trái là vấn đề rất khó khăn.

Đối với các u xương ở xương sườn số 1 là cực hiếm gặp, u to gây chèn ép vào bó mạch máu và đám rối thần kinh cánh tay sẽ gây ra các biến chứng nghiêm trọng như hội chứng lỗ thoát ngực. Các bác sĩ đã tiến hành đã hội chẩn, đưa ra nhiều phương án để cân nhắc kỹ càng sau đó tư vấn cho người bệnh.

Do khối u kích thước lớn, khả năng lấy trọn toàn bộ u là rất khó khăn, u với tính chất lành tính nên các bác sĩ đã tiến hành lấy u từng phân, cắt bỏ toàn bộ xương sườn số 1 cùng khối u, sau cầm máu kỹ và lau rửa khoang màng phổi, bệnh nhân được đặt 1 dẫn lưu ngực, đóng ngực theo lớp giải phẫu.

Sau khi phẫu thuật, khối u đã được lấy bỏ hoàn toàn. Bệnh nhân được rút dẫn lưu sau 3 ngày. Bệnh nhân sau mổ tay trái không tê bì, vận đồng bình thường. Kết quả giải phẫu bệnh sau mổ là u xơ xương lành tính.

Từ trường hợp nêu trên, bác sỹ Bệnh viện K khuyến cáo mỗi người nên chú ý đến thay đổi của cơ thể, sớm nhận biết các dấu hiệu bất thường để thăm khám, điều trị kịp thời, giúp việc điều trị đạt hiệu quả cao nhất.
VIETBF Diễn Đàn Hay Nhất Của Người Việt Nam

HOT NEWS 24h

HOT 3 Days

NEWS 3 Days

HOT 7 Days

NEWS 7 Days

HOME

Breaking News

VietOversea

World News

Business News

Car News

Computer News

Game News

USA News

Mobile News

Music News

Movies News

History

Thơ Ca

Sport News

Stranger Stories

Comedy Stories

Cooking Chat

Nice Pictures

Fashion

School

Travelling

Funny Videos

Canada Tin Hay

USA Tin Hay

VietBF Homepage Autoscroll

VietBF Video Autoscroll Portal

Home Classic

Home Classic Master Page



TinNhanh247
R9 Tuyệt Đỉnh Tôn Sư
Release: 03-17-2025
Reputation: 14051


Profile:
Join Date: Oct 2014
Posts: 38,794
Last Update: None Rating: None
Attached Thumbnails
Click image for larger version

Name:	370595279a6973372a78.jpg
Views:	0
Size:	84.6 KB
ID:	2503015  
TinNhanh247_is_offline
Thanks: 16
Thanked 1,795 Times in 1,633 Posts
Mentioned: 3 Post(s)
Tagged: 0 Thread(s)
Quoted: 11 Post(s)
Rep Power: 50
TinNhanh247 Reputation Uy Tín Level 6
TinNhanh247 Reputation Uy Tín Level 6TinNhanh247 Reputation Uy Tín Level 6TinNhanh247 Reputation Uy Tín Level 6TinNhanh247 Reputation Uy Tín Level 6TinNhanh247 Reputation Uy Tín Level 6TinNhanh247 Reputation Uy Tín Level 6TinNhanh247 Reputation Uy Tín Level 6TinNhanh247 Reputation Uy Tín Level 6TinNhanh247 Reputation Uy Tín Level 6TinNhanh247 Reputation Uy Tín Level 6TinNhanh247 Reputation Uy Tín Level 6TinNhanh247 Reputation Uy Tín Level 6TinNhanh247 Reputation Uy Tín Level 6TinNhanh247 Reputation Uy Tín Level 6TinNhanh247 Reputation Uy Tín Level 6TinNhanh247 Reputation Uy Tín Level 6TinNhanh247 Reputation Uy Tín Level 6
Reply

User Tag List


Xả súng kinh hoàng tại Mỹ: Thảm Kịch Tại Brown University - Cơn Ác Mộng Giáng Sinh Và Nỗi Đau Chưa Từng Có Của Một Trường Ivy League Melissa Trần – Tâm thư từ Việt Nam của cô chủ tiệm nail bị trục xuất Úc: Khủng bố xả súng bắn vào cư dân Israel tại bải biển, giết chết 11 người và hàng chục người khác bị thương
Bác sĩ Mũ Đỏ Phạm Gia Cổn: Từ chiến trường Tam Biên đến Khí Công Hoàng Hạc Xả súng ở bãi biển Úc, ít nhất 11 người chết Người Việt tại Đức xuống đường tố cáo bàn tay đàn áp xuyên quốc gia của CSVN
Giữa Tô Lâm và Phan Văn Giang: Cuộc cờ quyền lực, lợi ích nhóm và thân phận 100 triệu dân Target “chơi lớn” ở SoHo: Cửa hàng kiểu mẫu để giành lại hào quang “Tar-zhay” Mỹ bất ngờ thu hẹp thâm hụt thương mại: vàng, thuế quan và những mặt trái sau các con số đẹp
Bài học Nokia giữa mùa đông Phần Lan: Thua từ bên trong trước khi thua thị trường Liuzhi – Bóng tối mới phủ xuống giới doanh nhân Trung Quốc 5 tiểu bang vàng cho nghề nail – hair – spa của người Việt tại Mỹ
Phố Tây Bùi Viện náo nhiệt và bóng dáng nhà canh tân cuối thế kỷ XIX Từ mafia thuốc lá đến tú bà Chemnitz: Vết nhơ kéo dài của một bộ phận người Việt Đông Đức Khi xe Trung Quốc viết lại trật tự ngành ô tô thế giới
Dự luật ‘một quốc tịch Mỹ’: ồn ào trên mặt báo, nhưng rất khó thành hiện thực Netflix nuốt chửng Warner Bros: Địa chấn 72 tỷ đô làm rung chuyển Hollywood Apple rung chuyển: Lãnh đạo lần lượt ra đi, Tim Cook trước cơn bão AI
Kế hoạch y tế mới của Trump: Chưa kịp ra mắt đã vỡ trận ngay trong nội bộ Cộng Hòa Cuộc trả thù chính trị của Trump: Từ vụ Comey, Letitia James đến đòn nhắm vào Mark Kelly Cơn say trên mây: Ai chịu trách nhiệm về hành khách nhậu nhẹt trên máy bay?
Giáng Sinh thắt lưng buộc bụng mà vẫn đủ ấm và đủ vui Mùa mua sắm Giáng Sinh 2025: Kinh tế chữ K và ảo giác “chi tiêu vẫn tăng” DOGE – thí nghiệm quyền lực thất bại của Trump và Musk
Ukraine, Trump và bản hòa ước mong manh giữa tiếng drone gầm rú Dũng Taylor: Căng thẳng đỉnh điểm giữa người Việt MAGA và người Việt Dân Chủ Hùng Cao về thăm Việt Nam: Từ đứa bé tị nạn đến kiến trúc sư an ninh Thái Bình Dương
“Ngày Tri Ân Trump” ở Little Saigon: khi tượng đài chiến sĩ bị biến thành sân khấu chính trị “Giải thưởng Neville Chamberlain” cho Trump và bản thỏa thuận 28 điểm bẩn thỉu Biển lửa Hồng Kông: giàn giáo tre bốc cháy, chung cư Tai Po hóa địa ngục giữa trời
Từ iPod đến “Delete Day”: Hành trình Gabriela Nguyễn thoát khỏi cơn nghiện mạng xã hội “Cha già dân tộc” đã khép lại: khi thần tượng chính trị bị kéo xuống mặt đất DOGE đã chết: “cải cách” 135 tỷ đô la đốt sạch tiền thuế của người Mỹ
VinFast VF 8 ở Mỹ: từ cáo buộc “sạc rùa bò” đến nguy cơ mất lái và lệnh triệu hồi hàng loạt Trump, Putin và ván cờ hòa bình Ukraine: khi “hạn chót” chỉ còn là lời nói gió bay 1.000 tỷ USD bốc hơi: Bitcoin bước vào thời kỳ ‘dành cho người thường’ và cơn say tiền số tan vỡ

 
Lên đầu Xuống dưới Lên 3000px Xuống 3000px

iPad Videos Portal Autoscroll

VietBF Music Portal Autoscroll

iPad News Portal Autoscroll

VietBF Homepage Autoscroll

VietBF Video Autoscroll Portal

USA News Autoscroll Portall

VietBF WORLD Autoscroll Portal

Home Classic

Super Widescreen

iPad World Portal Autoscroll

iPad USA Portal Autoscroll

Phim Bộ Online

Tin nóng nhất 24h qua

Tin nóng nhất 3 ngày qua

Tin nóng nhất 7 ngày qua

Tin nóng nhất 30 ngày qua

Albums

Total Videos Online
Lên đầu Xuống dưới Lên 3000px Xuống 3000px

Tranh luận sôi nổi nhất 7 ngày qua

Tranh luận sôi nổi nhất 14 ngày qua

Tranh luận sôi nổi nhất 30 ngày qua

10.000 Tin mới nhất

Tin tức Hoa Kỳ

Tin tức Công nghệ
Lên đầu Xuống dưới Lên 3000px Xuống 3000px

Super News

School Cooking Traveling Portal

Enter Portal

Series Shows and Movies Online

Home Classic Master Page

Donation Ủng hộ $3 cho VietBF
Lên đầu Xuống dưới Lên 3000px Xuống 3000px
Diễn Đàn Người Việt Hải Ngoại. Tự do ngôn luận, an toàn và uy tín. Vì một tương lai tươi đẹp cho các thế hệ Việt Nam hãy ghé thăm chúng tôi, hãy tâm sự với chúng tôi mỗi ngày, mỗi giờ và mỗi giây phút có thể. VietBF.Com Xin cám ơn các bạn, chúc tất cả các bạn vui vẻ và gặp nhiều may mắn.
Welcome to Vietnamese American Community, Vietnamese European, Canadian, Australian Forum, Vietnamese Overseas Forum. Freedom of speech, safety and prestige. For a beautiful future for Vietnamese generations, please visit us, talk to us every day, every hour and every moment possible. VietBF.Com Thank you all and good luck.

Lên đầu Xuống dưới Lên 3000px Xuống 3000px

All times are GMT. The time now is 14:40.
VietBF - Vietnamese Best Forum Copyright ©2005 - 2025
User Alert System provided by Advanced User Tagging (Pro) - vBulletin Mods & Addons Copyright © 2025 DragonByte Technologies Ltd.
Log Out Unregistered

Page generated in 0.12217 seconds with 15 queries