HOME-Au
HOME-Au
24h
24h
USA
USA
GOP
GOP
Phim Bộ
Phim Bộ
Videoauto
VIDEO-Au
Home Classic
Home Classic
Donation
Donation
News Book
News Book
News 50
News 50
worldautoscroll
WORLD-Au
Breaking
Breaking
 

Go Back   VietBF > Other News|Tin Khác > School | Kiến thức > School | Kiến thức 2006-2019


 
 
Thread Tools
  #1  
Old  Default Những việc cần làm khi bị mòn chân răng
Chân răng bị bào mòn không chỉ do tuổi tác mà do rất nhiều nguyên nhân. Nếu bị mòn do thuốc thì bác sĩ sẽ thay đổi cách dùng có thể giảm nguy cơ nhưng nếu các nguyên nhân khác thì sao?


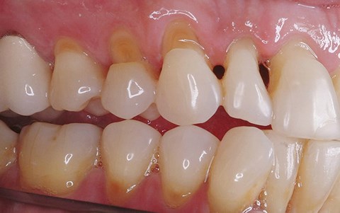
Răng bị bào mòn. (Ảnh minh họa)

Theo TS-BS Phạm Thị Thu Hằng (Khoa Răng - Bệnh viện Trung ương Quân đội 108), mòn-tiêu cổ răng là hiện tượng mất tổ chức cứng của răng ở vị trí gần đường nối men ngà. Biểu hiện dễ nhận biết là cổ răng bị khuyết, lõm sâu có hình chữ V (còn gọi là lõm hình chêm), hay gặp nhất ở mặt ngoài cổ răng hàm nhỏ ở hàm trên, ngoài ra còn thấy ở răng cửa và răng hàm lớn.

Đôi khi người bệnh được phát hiện khi răng xuất hiện hiện tượng nhạy cảm với nhiệt độ hoặc thức ăn ngọt, chua.

Những tổn thương này gia tăng theo tuổi và gặp từ lứa tuổi thanh niên cho tới người cao tuổi. Đặc biệt với lối sống tiêu thụ nhiều đồ uống có tính axit ở người trẻ tuổi và thuốc điều trị bệnh mãn tính ở người nhiều tuổi sẽ làm tăng độ axit trong khoang miệng dẫn đến tổ chức cứng của răng dễ bị bào mòn, tiêu cổ răng càng nặng.

Các nguyên nhân chủ yếu gây mòn-tiêu cổ răng theo bác sĩ Hằng có ba nguyên nhân chính:

Thứ nhất do ăn mòn của axit: Bình thường nước bọt trong môi trường miệng có pH = 7,0 trung tính. pH môi trường miệng có thể thay đổi do trào ngược dạ dày thực quản, dịch dạ dày có pH = 1,0-2,0. Có thể do người bệnh sử dụng thức uống có tính axit như trái cây, coca cola, nước tăng lực, rượu vang…(Coca cola có axit photphoric, nước tăng lực có axit citric). Các nước này có pH = 2,5-3,4.

Ngược lại, khi sử dụng ma túy qua đường miệng, pH trong miệng < 4,5. Lúc này sẽ xảy ra hiện tượng khử khoáng ở men và ngà răng.

Nguyên nhân thứ hai là ăn mòn do lực ma sát tác động, có thể do dùng bàn chải có lông cứng kết hợp với kem đánh răng có chất tẩy, chải răng quá mạnh với động tác đánh ngang gây chà sát làm tổn thương vùng cổ răng.

Nguyên nhân thứ ba do rối loạn cắn: Lực nhai quá mức, truyền đến vùng cổ răng như một lực uốn làm phá vỡ cấu trúc men răng, gây nứt vi cấu trúc. Dần dần tổn thương lớn hơn tạo lõm hình chêm vùng cổ răng. Thường gặp ở bệnh nhân có tật nghiến răng và mất răng, gây rối loạn cắn, khớp cắn sang chấn.

Các biện pháp ngăn ngừa mòn-tiêu cổ răng được bác sĩ Hằng đưa ra là:

Khám răng định kỳ 6 tháng một lần. Việc chẩn đoán sớm rất quan trọng để thay đổi những thói quen không tốt, có biện pháp phòng ngừa giúp bệnh nhân tránh phải can thiệp phục hồi có xâm lấn.

Giảm pH axit trong miệng từ bên ngoài: giảm các đồ ăn thức uống có tính axit. Giảm pH axit do trào ngược dạ dày bằng thuốc chống trào ngược, giảm axit dịch vị.

Đánh răng bằng bàn chải mềm với kem đánh răng chứa fluor, tăng độ khoáng hóa men răng với các biện pháp bổ sung fluor trong nước uống, muối ăn...

Bác sĩ Hằng khuyến cáo khi thấy xuất hiện một vết khuyết trên cổ răng, cần đến khám nha sĩ. Cũng có thể bệnh nhân thấy khó chịu với cảm giác ê buốt cổ răng. Vấn đề được phát hiện sớm, tổn thương sẽ được ngăn chặn. Điều trị mòn tiêu cổ răng tùy thuộc vào tình trạng tổn thương mô răng.

Nếu cổ răng tiêu ít nhưng có quá cảm ngà, nha sỹ bôi vecni vào vùng cổ răng để tránh sự tiếp xúc với môi trường axit và giảm ê buốt.

Nếu cổ răng tiêu đến mức cần hàn-trám, nha sĩ sẽ thay thế phần men răng tiêu lõm bằng một vật liệu trám có màu giống với răng. Có hai loại vật liệu được dùng là nhựa Composite và GIC (Glass Ionomer Cement). Đối với những răng mòn sâu ảnh hưởng đến tủy răng, có thể cần đến điều trị tủy hoặc nhổ bỏ.

VietBF © sưu tầm
VIETBF Diễn Đàn Hay Nhất Của Người Việt Nam

HOT NEWS 24h

HOT 3 Days

NEWS 3 Days

HOT 7 Days

NEWS 7 Days

HOME

Breaking News

VietOversea

World News

Business News

Car News

Computer News

Game News

USA News

Mobile News

Music News

Movies News

History

Thơ Ca

Sport News

Stranger Stories

Comedy Stories

Cooking Chat

Nice Pictures

Fashion

School

Travelling

Funny Videos

Canada Tin Hay

USA Tin Hay

VietBF Homepage Autoscroll

VietBF Video Autoscroll Portal

Home Classic

Home Classic Master Page



troopy
R10 Vô Địch Thiên Hạ
Release: 12-30-2018
Reputation: 227563


Profile:
Join Date: Oct 2014
Posts: 89,913
Last Update: None Rating: None
Attached Thumbnails
Click image for larger version

Name:	25.jpg
Views:	0
Size:	29.3 KB
ID:	1321062  
troopy is_online_now
Thanks: 76
Thanked 6,718 Times in 5,836 Posts
Mentioned: 5 Post(s)
Tagged: 0 Thread(s)
Quoted: 34 Post(s)
Rep Power: 112
troopy Reputation Uy Tín Level 10troopy Reputation Uy Tín Level 10troopy Reputation Uy Tín Level 10troopy Reputation Uy Tín Level 10troopy Reputation Uy Tín Level 10troopy Reputation Uy Tín Level 10
troopy Reputation Uy Tín Level 10troopy Reputation Uy Tín Level 10troopy Reputation Uy Tín Level 10troopy Reputation Uy Tín Level 10troopy Reputation Uy Tín Level 10troopy Reputation Uy Tín Level 10troopy Reputation Uy Tín Level 10troopy Reputation Uy Tín Level 10troopy Reputation Uy Tín Level 10troopy Reputation Uy Tín Level 10troopy Reputation Uy Tín Level 10troopy Reputation Uy Tín Level 10troopy Reputation Uy Tín Level 10troopy Reputation Uy Tín Level 10troopy Reputation Uy Tín Level 10troopy Reputation Uy Tín Level 10troopy Reputation Uy Tín Level 10troopy Reputation Uy Tín Level 10troopy Reputation Uy Tín Level 10troopy Reputation Uy Tín Level 10troopy Reputation Uy Tín Level 10troopy Reputation Uy Tín Level 10
 
User Tag List


Công dân Mỹ cũng có thể bị ICE bắt nhầm: ‘Xứ tự do’ và nỗi sợ gõ cửa lúc nửa đêm Khi CIA mù tịt, còn một tướng VNCH đã nhìn ra trước Kinh tế Trung Quốc kẹt giữa lạm phát và giảm phát
Hàng Tàu phá vây thuế quan, Trump khoe kinh tế A+++ và chiếc ví rỗng của người Mỹ Nguyễn Cao Kỳ, cái chết bất ngờ và bài học đắt giá về ‘hòa hợp hòa giải’ Trung Quốc siết cổ doanh nghiệp Việt: Cuộc xâm lược thương mại ngay trên sân nhà
Mỹ đuổi thẳng tay nếu chửi Mỹ trên Facebook Hòa bình mong manh cho Ukraine: Kế hoạch 20 điểm, sức ép từ Trump và bài toán bầu cử giữa làn đạn Fed cắt lãi suất lần thứ ba liên tiếp: Powell “phanh gấp”, túi tiền người Mỹ thay đổi ra sao?
IKEA khai trương cửa hàng đầu tiên ở New Zealand: Người Kiwi xếp hàng từ tờ mờ sáng Nước Mỹ không dung dưỡng kẻ vô ơn: Tị nạn, di dân và cơn giận của Donald Trump Dư âm Giáng Sinh Sài Gòn xưa: Từ mùa sao sáng đến thánh ca buồn
Lê Duẩn – Mao Trạch Đông và cái giá “lá chắn phương Nam” của Việt Nam Trung Quốc hủy 540.000 vé sang Nhật: Đòn răn đe hay cú “tự bắn vào chân”? Trump xóa bỏ tiêu chuẩn nhiên liệu thời Biden
Mỹ đã hiểu sai tham vọng của Đảng Cộng sản Trung Quốc và đánh giá thấp sự quyết liệt tàn nhẫn của họ Tị nạn, thẻ xanh, visa du học cùng bị “khóa cửa” Khi bia Mexico gặp búa trừng phạt di trú của Trump: Cú ngã đau của đế chế Modelo – Corona
Biển số 37.77: Thông điệp ngầm của Thủ tướng Nhật Takaichi Sanae gửi Bắc Kinh Quốc tịch Mỹ: Tường thành gần như tuyệt đối cho người nhập tịch Con gái Hà Nội, giọt nước dưới mặt lá
Những tay giang hồ miền Nam: huyền thoại, bóng tối và cái giá phải trả Huỳnh Điều – “anh lớp Ba” mà Cộng sản sợ cái miệng hơn sợ khẩu M.79 Tiếng súng 9 giờ sáng ở Florida và hành trình cuối của nữ deputy Terri Sweeting-Mashkow
“Giang sơn” nào được sắp xếp, và sắp xếp cho ai? Sau 40 tuổi, khuôn mặt là “bản lý lịch” của tâm hồn Siêu biệt phủ trăm tỷ của Chủ tịch phường Hải Phòng: “Đại Lộc Thiên tử” giữa làng nghèo
Từ vụ sạc 24 giờ ở Mỹ đến chết yểu ở Ấn Độ: VinFast và câu hỏi dành cho người Việt Khi chú Hòa xây nhà bình dân: những kiệt tác âm thầm giữa lòng Sài Gòn Việt Nam – Xứ sở của những người bị bắt phải học nghề đói
Mailisa bị bắt và ký ức đôi vợ chồng ăn chay đi chùa Đi Hàn, đi Nhật rồi nhìn lại Việt Nam: yêu nước đâu chỉ nói trên môi Nepal – Đất nước sống ở năm 2082 giữa trái tim Himalaya
Nicholas Winton – Người hùng thầm lặng cứu 669 đứa trẻ khỏi bóng đen Đức Quốc Xã Bi kịch giáo sư Yoshihiro Sato: khi dữ liệu đẹp đổi lấy danh dự và cái chết Sự ngu dốt của bọn có học – từ Nguyễn Huy Thiệp đến thời những lời nói lật ngược sự thật

 
Lên đầu Xuống dưới Lên 3000px Xuống 3000px

iPad Videos Portal Autoscroll

VietBF Music Portal Autoscroll

iPad News Portal Autoscroll

VietBF Homepage Autoscroll

VietBF Video Autoscroll Portal

USA News Autoscroll Portall

VietBF WORLD Autoscroll Portal

Home Classic

Super Widescreen

iPad World Portal Autoscroll

iPad USA Portal Autoscroll

Phim Bộ Online

Tin nóng nhất 24h qua

Tin nóng nhất 3 ngày qua

Tin nóng nhất 7 ngày qua

Tin nóng nhất 30 ngày qua

Albums

Total Videos Online
Lên đầu Xuống dưới Lên 3000px Xuống 3000px

Tranh luận sôi nổi nhất 7 ngày qua

Tranh luận sôi nổi nhất 14 ngày qua

Tranh luận sôi nổi nhất 30 ngày qua

10.000 Tin mới nhất

Tin tức Hoa Kỳ

Tin tức Công nghệ
Lên đầu Xuống dưới Lên 3000px Xuống 3000px

Super News

School Cooking Traveling Portal

Enter Portal

Series Shows and Movies Online

Home Classic Master Page

Donation Ủng hộ $3 cho VietBF
Lên đầu Xuống dưới Lên 3000px Xuống 3000px
Diễn Đàn Người Việt Hải Ngoại. Tự do ngôn luận, an toàn và uy tín. Vì một tương lai tươi đẹp cho các thế hệ Việt Nam hãy ghé thăm chúng tôi, hãy tâm sự với chúng tôi mỗi ngày, mỗi giờ và mỗi giây phút có thể. VietBF.Com Xin cám ơn các bạn, chúc tất cả các bạn vui vẻ và gặp nhiều may mắn.
Welcome to Vietnamese American Community, Vietnamese European, Canadian, Australian Forum, Vietnamese Overseas Forum. Freedom of speech, safety and prestige. For a beautiful future for Vietnamese generations, please visit us, talk to us every day, every hour and every moment possible. VietBF.Com Thank you all and good luck.

Lên đầu Xuống dưới Lên 3000px Xuống 3000px

All times are GMT. The time now is 09:51.
VietBF - Vietnamese Best Forum Copyright ©2005 - 2025
User Alert System provided by Advanced User Tagging (Pro) - vBulletin Mods & Addons Copyright © 2025 DragonByte Technologies Ltd.
Log Out Unregistered

Page generated in 0.13233 seconds with 15 queries