HOME-Au
HOME-Au
24h
24h
USA
USA
GOP
GOP
Phim Bộ
Phim Bộ
Videoauto
VIDEO-Au
Home Classic
Home Classic
Donation
Donation
News Book
News Book
News 50
News 50
worldautoscroll
WORLD-Au
Breaking
Breaking
 

Go Back   VietBF > World Box| Thế Giới > Vietnam News | Tin Việt Nam


Reply
 
Thread Tools
  #1  
Old  Default Người đàn ông 50 tuổi tử vong sau cú hắt hơi
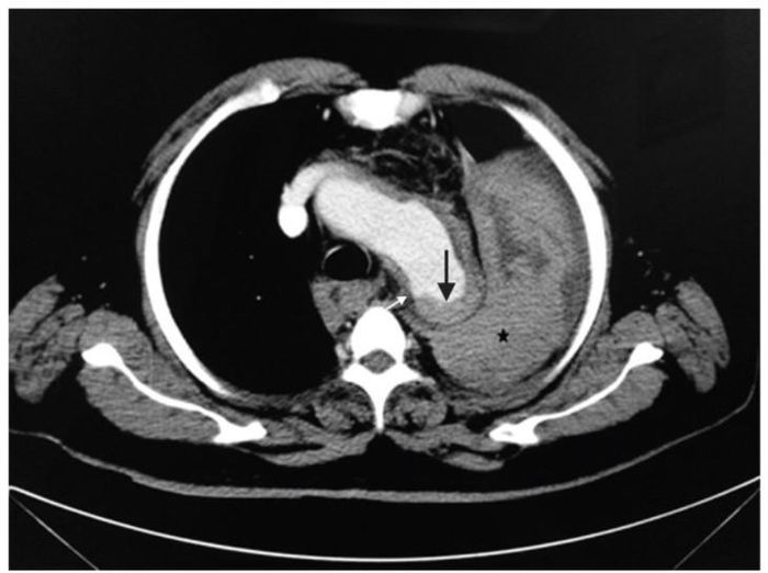
Bệnh nhân bất ngờ hôn mê sau khi hắt hơi. Bác sĩ kiểm tra qua chụp CT xác định vỡ túi phình động mạch chủ khiến người bệnh shock và tử vong ngay sau đó.

Mới đây, bác sĩ Nguyễn Minh Đức, giảng viên Trường Đại học Y Phạm Ngọc Thạch (TP HCM) chia sẻ, Bệnh viện Đa khoa Vạn Hạnh đã tiếp nhận khám cho một nam bệnh nhân 50 tuổi, (là Việt kiều Úc) có các triệu chứng của rối loạn tiêu hóa.

Sau khi thăm khám các bác sĩ phát hiện bệnh nhân bị phình động mạch chủ ngực, kích thước lên tới 50mm.

Bệnh nhân được bác sĩ tư vấn can thiệp điều trị đặt stent graft ngay vì có nguy cơ vỡ động mạch chủ nhưng bệnh nhân mong muốn quay trở lại Úc điều trị.

Ngày hôm sau, bệnh nhân bất ngờ hôn mê sau khi hắt hơi. Bác sĩ kiểm tra qua chụp CT xác định vỡ túi phình động mạch chủ khiến người bệnh shock và tử vong ngay sau đó.


Kết quả chụp CT cho thấy bệnh nhân bị vỡ phình động mạch chủ. Ảnh BSCC

Bác sĩ chia sẻ, ông cũng từng chứng kiến một bác sĩ làm trong ngành Chấn thương Chỉnh hình cũng tử vong sau cú hắt xì hơi. Vị bác sĩ này khám và phát hiện phình động mạch ngực, túi phình 45mm nhưng chưa muốn điều trị. Khi bị cảm cúm, bệnh nhân hắt hơi, gặp biến chứng vỡ phình động mạch chủ ngực và tử vong ở tuổi 60.

Theo các bác sĩ, động mạch chủ ngực là phần động mạch tiếp nối phía dưới cung động mạch chủ. Khi một vùng bất kỳ trên thành của động mạch chủ ngực suy yếu hình thành nên túi phình với kích thước lòng mạch lớn hơn các vị trí còn lại thì tình trạng này được gọi là phình động mạch chủ ngực.

Khi hắt hơi, người bệnh sẽ lấy hơi bụng đẩy lên nên gây áp lực tới động mạch chủ ngực. Động mạch đang phình căng như bóng, rất dễ vỡ dẫn đến máu ồ ạt chảy vào tim phổi gây shock và nguy cơ tử vong rất cao.

Theo các bác sĩ, nếu không được phát hiện và điều trị kịp thời, phình động mạch chủ có thể dẫn đến nhiều biến chứng nghiêm trọng, bao gồm:

Vỡ động mạch chủ: Đây là biến chứng nghiêm trọng nhất, xảy ra khi thành động mạch bị rách, gây xuất huyết ồ ạt vào khoang bụng, lồng ngực hoặc sau phúc mạc. Vỡ động mạch chủ có thể dẫn đến sốc mất máu, suy đa tạng và tử vong nhanh chóng nếu không được cấp cứu kịp thời. Các dấu hiệu của vỡ động mạch chủ thường bao gồm đau dữ dội ở ngực, bụng hoặc lưng kèm theo triệu chứng chóng mặt, nhịp tim nhanh, mất ý thức,…

Huyết khối: Sự phình to của động mạch chủ làm tăng nguy cơ hình thành cục máu đông trong lòng động mạch. Các cục máu đông này có thể di chuyển và gây tắc nghẽn mạch máu, dẫn đến nguy cơ đột quỵ hoặc nhồi máu cơ tim.

Chèn ép dây thần kinh: Khi phình động mạch phát triển, chúng có thể chèn ép vào các dây thần kinh xung quanh gây ra cảm giác đau đớn, tê bì ở khu vực cổ, lưng hoặc ngực.

Đột quỵ: Phình động mạch chủ, đặc biệt là ở khu vực gần não có thể làm tăng nguy cơ đột quỵ do tắc nghẽn hoặc vỡ mạch máu.

Tê liệt: Trong một số trường hợp, phình động mạch chèn ép dây thần kinh tủy sống hoặc gây tắc nghẽn tuần hoàn có thể gây ra biến chứng tê liệt ở tay, chân hay một phần cơ thể.

Suy tim sung huyết: Phình động mạch chủ kích thước lớn làm tăng áp lực lưu thông máu, dẫn đến tim phải hoạt động quá sức để bơm máu. Điều này có thể gây ra biến chứng suy tim với các dấu hiệu như phù nề, khó thở, mệt mỏi kéo dài,…

Suy thận: Khi phình động mạch xảy ra ở vùng bụng có thể làm gián đoạn lưu lượng máu đến thận dẫn đến suy giảm chức năng thận hoặc suy thận.

Đột tử là biến chứng nghiêm trọng nhất của phình động mạch chủ. Điều này thường xảy ra khi phình bị vỡ hoặc tách thành động mạch, dẫn đến mất máu nhanh chóng và không kịp cứu chữa.

Để phát hiện sớm phình động mạch chủ, bác sĩ Đức khuyến cáo, bệnh nhân tăng huyết áp, đái tháo đường, rối loạn mỡ máu cần thận trọng.

Với những người đã có phình hoặc bóc tách động mạch chủ nên thận trọng vì một thay đổi áp suất đột ngột như cú hắt hơi có thể gây ra vỡ, nhất là trong các đợt nhiễm trùng, nhiễm siêu vi, cảm cúm.

Theo bác sĩ Đức, phòng bệnh bằng cách ăn uống tốt cho sức khỏe tim mạch, không tiếp xúc với thuốc lá, tập luyện tối thiểu 150 phút mỗi tuần.
VIETBF Diễn Đàn Hay Nhất Của Người Việt Nam

HOT NEWS 24h

HOT 3 Days

NEWS 3 Days

HOT 7 Days

NEWS 7 Days

HOME

Breaking News

VietOversea

World News

Business News

Car News

Computer News

Game News

USA News

Mobile News

Music News

Movies News

History

Thơ Ca

Sport News

Stranger Stories

Comedy Stories

Cooking Chat

Nice Pictures

Fashion

School

Travelling

Funny Videos

Canada Tin Hay

USA Tin Hay

VietBF Homepage Autoscroll

VietBF Video Autoscroll Portal

Home Classic

Home Classic Master Page

VietBF iPad Music Portal

Tin nóng nhất 50h qua

Phim Bộ Online

Phim Bộ



TinNhanh247
R9 Tuyệt Đỉnh Tôn Sư
Release: 04-02-2025
Reputation: 14059


Profile:
Join Date: Oct 2014
Posts: 38,815
Last Update: None Rating: None
Attached Thumbnails
Click image for larger version

Name:	111764d0159efcc0a58f.jpg
Views:	0
Size:	41.7 KB
ID:	2509302  
TinNhanh247_is_offline
Thanks: 16
Thanked 1,799 Times in 1,637 Posts
Mentioned: 3 Post(s)
Tagged: 0 Thread(s)
Quoted: 11 Post(s)
Rep Power: 50
TinNhanh247 Reputation Uy Tín Level 6
TinNhanh247 Reputation Uy Tín Level 6TinNhanh247 Reputation Uy Tín Level 6TinNhanh247 Reputation Uy Tín Level 6TinNhanh247 Reputation Uy Tín Level 6TinNhanh247 Reputation Uy Tín Level 6TinNhanh247 Reputation Uy Tín Level 6TinNhanh247 Reputation Uy Tín Level 6TinNhanh247 Reputation Uy Tín Level 6TinNhanh247 Reputation Uy Tín Level 6TinNhanh247 Reputation Uy Tín Level 6TinNhanh247 Reputation Uy Tín Level 6TinNhanh247 Reputation Uy Tín Level 6TinNhanh247 Reputation Uy Tín Level 6TinNhanh247 Reputation Uy Tín Level 6TinNhanh247 Reputation Uy Tín Level 6TinNhanh247 Reputation Uy Tín Level 6TinNhanh247 Reputation Uy Tín Level 6
Reply

User Tag List


“Siêu đẹp” bí mật trong Himalaya: Dân Việt Nam sẽ chết không còn chỗ chôn? Ngoại trưởng trẻ nhất Trung Quốc và cú rơi không lời giải: Thăng như tên lửa, mất tích như bóng ma Hơn trăm người nhập viện bị ngộ độc, không biết là vì lý do gì, hoá ra là ....
“Bóp nghẹt không tiếng súng”: Việt Nam đang thua vì Trung Quốc quá mạnh, hay vì ta tự làm mình yếu? 10 khác biệt “đinh” giữa người Mỹ & người Việt Cộng: đọc thì cười, ngẫm lại… chạnh lòng “Mùa đỏ” của Cộng Sản bị loại khỏi giải Oscar
Thanh niên Việt mới sang Mỹ 9 tháng và một câu hỏi nhói lòng: “Bám trụ hay quay về?” Sony rút khỏi Huệ Châu, TQ, 30.000 người mất việc: khi “đèn nhà máy tắt” kéo cả một thành phố chao đảo Thảm sát Bondi Beach: hai cha con bị nghi theo ISIS, chuyến đi Mindanao và câu hỏi nhức nhối về “lỗ hổng” an ninh Úc
Hà Nội đang rất mệt – nhưng tôi vẫn không đành rời đi Chuyện giang hồ Á Châu và những cú sốc văn hoá Người Đàn Bà Gánh Sứ Mệnh Đến Hơi Thở Cuối Cùng
Putin Sụp Kiểu Liên Xô Hay Chỉ Là Giấc Mơ Của Phương Tây? “Con kiến kiện củ khoai”: Dân Phú Yên có thật sự kiện được thủy điện xả lũ? Trump Đánh Thuế, Chuỗi Cung Ứng Đại Di Cư: Việt Nam Đang Lên Đời Hay Chỉ Là Trạm Trung Chuyển Rẻ Tiền?
VIỆT NAM SẮP HÓNG HAY ĐANG ẢO GIÁC TẬP THỂ? Macron dọa đánh thuế hàng Trung Quốc: Châu Âu giật mình trước thâm hụt 300 tỷ euro Chiến lược An ninh Quốc gia mới của Trump: Khi ‘Nước Mỹ trên hết’ hóa thành bản tuyên ngôn cá nhân
Vì sao ngày xưa vua miễn thuế khi bão lụt, còn ngày nay thì không? Phép tính lạnh lùng của quyền lực Lindsey Halligan: 63 Ngày Hỗn Loạn Ở Viện Công Tố Virginia Việt Cộng sẽ tịch thu toàn bộ tiền của Việt kiều gửi trong ngân hàng?
Từ ‘Sổ Sinh Tử’ Đến Những Tấm Bưu Thiếp Tự Do: Lời Kêu Gọi Từ Buổi Tưởng Niệm 50 Năm Quốc Nạn 1975–2025 Paris By Night Lặng Im: Khi Đế Chế Giải Trí Chạm Đáy Khủng Hoảng Địa Ngục Lửa Trên Cao Ốc: Thảm Họa Wang Fuk Court Rúng Động Hồng Kông, ít nhất 146 người chết, khoảng 40 người vẫn còn mất tích
Ván Cờ Hòa Bình Của Trump: Ukraine Giữa Thể Diện Dân Tộc, Bom Đạn Và Lính Đánh Thuê Toàn Cầu Thảm Sát Trong Tiệc Sinh Nhật Ở California: Khi Bữa Tiệc Gia Đình Hóa Chiến Trường Đẫm Máu Vì sao Paris By Night và nghệ sĩ hải ngoại đồng loạt im lặng trước chuyện chống Cộng?
Nghề nail người Việt giữa cơn bão 2025: khi ghế trống nhiều hơn khách Giáng sinh kiểu Mỹ 2025: Rạp phim cháy vé, gấu bông biết nói nhảm và nỗi băn khoăn “có nên cho con tiền lúc mình còn sống?” Bitcoin lao dốc, vàng – bạc lập kỷ lục: cơn “sốc Nhật Bản” đang dọa thổi bay cú rally cuối năm của Phố Wall
Black Friday 2025: Người Mỹ mua nhiều mà được ít – thuế Trump và “K-đồ thị” xé đôi túi tiền Chống tham nhũng làm nghẽn “cỗ máy chiến tranh”: Doanh thu quốc phòng Trung Quốc bất ngờ lao dốc Cựu tiếp viên hàng không và “luật ngầm” 4 triệu – 7 triệu: đường dây mại dâm Tài Nguyên Fortuner II lộ sáng
Quân Lực VNCH – Ai còn nhớ, ai đã quên: TQLC Phúc Yên Nguyễn Xuân Phúc và một “tổn thất” của Khóa 16 Kinh tế Trung Quốc đang tan rã từ bên trong: “phép màu” chỉ là một phim trường khổng lồ Giữa Nước Mỹ Chia Rẽ: Tâm Sự Của Một Người Nhập Cư

 
Lên đầu Xuống dưới Lên 3000px Xuống 3000px

iPad Videos Portal Autoscroll

VietBF Music Portal Autoscroll

iPad News Portal Autoscroll

VietBF Homepage Autoscroll

VietBF Video Autoscroll Portal

USA News Autoscroll Portall

VietBF WORLD Autoscroll Portal

Home Classic

Super Widescreen

iPad World Portal Autoscroll

iPad USA Portal Autoscroll

Phim Bộ Online

Tin nóng nhất 24h qua

Tin nóng nhất 3 ngày qua

Tin nóng nhất 7 ngày qua

Tin nóng nhất 30 ngày qua

Albums

Total Videos Online
Lên đầu Xuống dưới Lên 3000px Xuống 3000px

Tranh luận sôi nổi nhất 7 ngày qua

Tranh luận sôi nổi nhất 14 ngày qua

Tranh luận sôi nổi nhất 30 ngày qua

10.000 Tin mới nhất

Tin tức Hoa Kỳ

Tin tức Công nghệ
Lên đầu Xuống dưới Lên 3000px Xuống 3000px

Super News

School Cooking Traveling Portal

Enter Portal

Series Shows and Movies Online

Home Classic Master Page

Donation Ủng hộ $3 cho VietBF
Lên đầu Xuống dưới Lên 3000px Xuống 3000px
Diễn Đàn Người Việt Hải Ngoại. Tự do ngôn luận, an toàn và uy tín. Vì một tương lai tươi đẹp cho các thế hệ Việt Nam hãy ghé thăm chúng tôi, hãy tâm sự với chúng tôi mỗi ngày, mỗi giờ và mỗi giây phút có thể. VietBF.Com Xin cám ơn các bạn, chúc tất cả các bạn vui vẻ và gặp nhiều may mắn.
Welcome to Vietnamese American Community, Vietnamese European, Canadian, Australian Forum, Vietnamese Overseas Forum. Freedom of speech, safety and prestige. For a beautiful future for Vietnamese generations, please visit us, talk to us every day, every hour and every moment possible. VietBF.Com Thank you all and good luck.

Lên đầu Xuống dưới Lên 3000px Xuống 3000px

All times are GMT. The time now is 17:08.
VietBF - Vietnamese Best Forum Copyright ©2005 - 2025
User Alert System provided by Advanced User Tagging (Pro) - vBulletin Mods & Addons Copyright © 2025 DragonByte Technologies Ltd.
Log Out Unregistered

Page generated in 0.12569 seconds with 15 queries